论文论著
亚非博客
典型病例
医院科室
骨科康复
健宫简介
医患交流
人工关节置换手术治疗介绍 李亚非
人工关节置换术对于改善病变晚期的髋、膝、肩关节功能,取得了举世公认的良好效果,是50年来世界医学界最伟大的成就之一。
什么是人工关节置换术
人工关节置换术只是将已磨损破坏的关节面切除,使其恢复正常平滑的关节面。人工关节多由合金,耐磨损的聚乙烯制成。
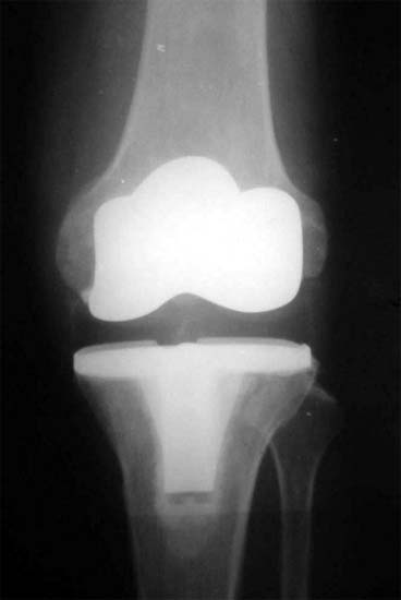
70岁,软骨破坏,严重双膝内翻畸形
双膝关节X线片显示关节软骨破坏,间隙消失,膝内翻
手术示意图:切除磨损破坏的关节面,安装平滑的 合金关节面和耐磨损的聚乙烯垫
术后X线片,假体用骨水泥固定显示膝内翻被纠正
什么情况需要做人工关节
骨性关节炎造成的髋、膝、肩关节病变
类风湿性关节炎、股骨头无菌性坏死、创伤性关节炎、某些骨折、肿瘤、先天性疾病、强直性脊柱炎等。
选择手术治疗的病人必须符合如下三条标准:
关节破坏的X线改变 有中度到重度持续性疼痛,关节活动受限 长期保守治疗得不到改善
关节破坏的X线改变
有中度到重度持续性疼痛,关节活动受限
长期保守治疗得不到改善
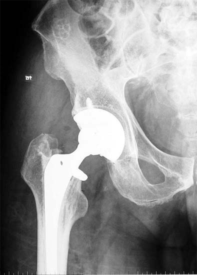
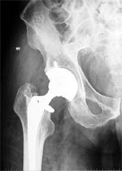
骨性关节炎关节软骨破坏,股骨头坏死 股骨颈骨折,容易发生不愈合
切除病变的股骨头,全髋置换
骨性关节炎造成的肩关节软骨破坏,骨刺形成 肱骨头粉碎骨折
全肩关节置换术后示意图 肱骨头置换后X线片
人工关节的寿命有多长
发达国家二十年前手术置入的人工关节至今仍完好使用的达到90%以上。现在人工关节质量大为改善,相信置入二十年,继续可以使用的可超过95%。病人维持理想体重避免剧烈运动,可望增加人工关节的寿命。
参考资料:
【科普讲座】膝关节置换术前准备与康复
【科普讲座】髋关节置换术前准备与康复
【科普讲座】肩关节置换术前准备与康复
膝关节置换病例介绍
髋关节置换常识
膝关节置换常识
关节置换术问与答
Email: liyf@vip.163.com 联系电话:010-83521777-2276 骨科护理站 010-63536059 主任办公室 京ICP备09006315号 Copyright 2003-2009 YAFEI. All rights reserved.