肱骨骨折骨不连

肱骨干骨折骨不连近年有增多趋势,许多是由于治疗不当造成。

造成骨不连的主要医源性因素:

  1. 钢板较长剥离骨膜过多,或钢板过短导致螺钉松脱、钢板折断;螺钉打入骨折线。首次钢板固定失败的病例再次用钢板固定不应是首选的方法。

  2. 髓内钉、骨圆针固定断端不稳定,抗旋转性不足,钉移位退出失去固定作用。

  3. 不适当的外固定架固定,存在应力遮挡。

  4. 骨折区软组织严重创伤,感染,缺血

治疗:

  1. 带锁髓内钉或异型钢板是治疗肱骨骨不连的有效固定方法。由于肱骨骨不连的骨断端多有硬化而骨干骨质疏松、遗留有以往手术的钢板、钢丝、钉孔,或由于骨吸收骨干变细皮质变薄,再用钢板内固定难以获得可靠效果,也势必造成进一步的血运破坏。穿针外固定,也难以获得可靠的固定效果,治疗困难较大。
    带锁髓内钉在骨组织和钉体之间提供较均匀的弹性应力分布,避免钢板内固定时广泛的软组织剥离,抗旋转作用强于可屈髓内钉,不需外固定,对断端稳定性好,能较好的解决骨质疏松、骨干变细和骨缺损等情况下的固定问题,可早期功能锻炼,所以在治疗长骨干骨不连方面有优于钢板、外固定架和可屈髓钉的特点。

  2. 植骨量要充足

  3. 复合骨髓细胞的植骨可促进骨折愈合:经反复手术失败,骨折端有骨缺损、骨吸收、畸形的骨不连称为“难治性骨不连”(resistant nonunion),再次手术治疗有较大困难且仍易失败。骨髓基质细胞在体内植入特定的环境中能够分化为成骨细胞,并能刺激受区其它细胞转化为成骨细胞、软骨细胞,有合成骨基质的能力,具有促进骨修复作用 。

病例介绍

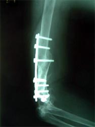
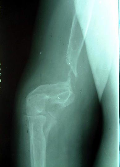
病例一、患者男性,60岁,肱骨远段开放粉碎骨折3年,骨不连,假关节形成。

   

图1-1我们用钢板固定骨折端提供支撑力,患者自体骨髓细胞经与异体骨和骨生长因子复合,
使没有细胞的植骨材料变成了有细胞的活骨。

图1-2 骨折在12个月后愈合,功能恢复满意。

病例二、患者女性,20岁,肱骨中段骨折1年,骨不连形成。

带锁髓内钉固定骨折端提供支撑力,患者自体骨髓细胞经与松质骨和骨生长因子复合,
使没有细胞的植骨材料变成了有细胞的活骨。骨折在8个月后愈合。

手术后去除内固定

病例三、

肱骨骨不连的骨断端多有硬化而骨干骨质疏松、遗留有以往手术钢丝、
钉孔,骨吸收骨干变细皮质变薄,有严重骨缺损。

带锁髓内钉在骨组织和钉体之间提供较均匀的弹性应力分布,避免钢板内固定时
广泛的软组织剥离,抗旋转作用强于可屈髓内钉,不需外固定,对断端稳定性好

病例四、

肱骨骨不连的骨断端多有硬化而骨干骨质疏松、遗留有以往手术的钢板、
钉孔,骨吸收骨干变细有严重骨缺损,治疗困难较大。

带锁髓内钉内固定,解决骨质疏松、骨干变细和骨缺损等情况
下的固定问题,进行复合骨髓细胞的植骨,促进骨折愈合

 

 

Email: liyf@vip.163.com
联系电话:010-83521777-2276 骨科护理站  010-63536059 主任办公室
京ICP备09006315号
Copyright 2003-2009 YAFEI. All rights reserved.