股骨粗隆骨折骨不连

股骨粗隆下部位的特点是负重,两端为大关节,附着肌肉力量特别强大,应力集中,容易发生粉碎性骨折,骨折内固定的失败率常超过20%,易出现髋内翻畸形。我们的经验如下:

一、股骨近端骨折骨不连原因分析:

  1. 内固定物选择钢板。股骨粗隆下骨折错误地选用钢板固定。而且首次钢板固定失败即换长钢板、加压钢板,最多的用过3次钢板固定术。

  2. 普通髓内钉固定后断端不稳定,抗旋转性不足,钉移位退出失去固定作用。

  3. 感染。

  4. 初次手术后X线片显示存在明显骨缺损而未植骨

  5. 其他因素方面可能与骨折区软组织严重创伤,感染,缺血,成骨细胞成骨能力的低下, 骨生长因子的缺乏等因素有关。

二、带锁髓内钉是治疗股骨粗隆下复杂性骨折的较理想方法
如再用Richard’s髋部加压钢板螺钉系统或角度钢板内固定,很难获得稳定性。股骨重建髓内钉可在股骨颈内产生滑动和加压。远端全螺纹锁钉横行固定股骨远端,防止短缩和旋转。避免钢板内固定时广泛的软组织剥离,提供较均匀的弹性应力分布,能获得良好早期的稳定性,为骨愈合创造条件。抗旋转作用强,对断端稳定性好,能较好的解决骨质疏松、骨干变细和骨缺损等情况下的固定问题。不需外固定,可早期功能锻炼,适用于股骨粗隆下骨折病例。

三、充分松解髋关节周围粘连孪缩:股骨粗隆下骨不连多有近断端屈曲外展畸形,髋关节囊的粘连孪缩。以大粗隆为中心髋外侧纵切口,可松解孪缩的阔筋膜、臀中肌、股外侧肌,以及关节周围的粘连,有利于纠正髋屈曲、外展畸形,并便于钉的插入。

四、断端硬化骨的去除与植骨:去除断端硬化骨每侧不超过0.5cm。

五、 采用尽可能大直径的髓内钉。有利于获得最大的强度。

六、骨髓细胞与骨折愈合:断端具备了稳定性和足够的成骨基质后,具有良好活力的成骨前质细胞的存在就成了提高胫骨骨不连的治愈率的重要条件。我们用髓内钉固定后保证早期稳定性,植骨补充成骨所需基质,骨髓细胞可分化成为骨痂组织,促进了骨不连的愈合。

 

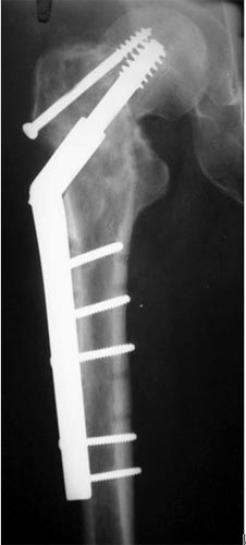
病例介绍
 

   

以上图片为三位患者的X线片,显示股骨粗隆下骨折、骨不连,内固定已经失败。

主要采用股骨重建髓内钉获得良好早期的稳定性,为骨愈合创造条件,
有的病例采用DHS治疗,同时采用骨髓细胞和植骨复合物植入。成功治愈患者。

   

患者股骨粗隆下骨折、骨不连,左图为手术前,显示假关节形成,右图为手术内固定后,关节功能恢复

Email: liyf@vip.163.com
联系电话:010-83521777-2276 骨科护理站  010-63536059 主任办公室
京ICP备09006315号
Copyright 2003-2009 YAFEI. All rights reserved.