论文论著
亚非博客
典型病例
医院科室
骨科康复
健宫简介
医患交流
股骨远端骨折的治疗 张建政 李亚非
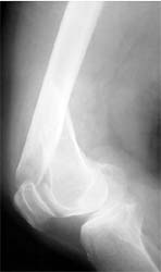
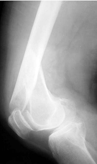
股骨远端骨折是指股骨下端15cm以内的骨折。随着交通运输和工农业的发展,由高能量暴力造成的该部为骨折有增多的趋势,而且伤情复杂,并发症多、致残率高,是难治的骨折之一。股骨远端骨折多位与髓腔狭窄不易下,以髓内钉为基础的中心型固定方法更符和股骨的生物力学特点,固定确实,且不破坏骨折短的血运,便于患肢尽早活动,被称为“生物学”内固定技术。可以达到满意的复位,恢复关界面与关节间的正常解剖关系。,采用这种可靠稳妥的固定技术,便于早期进行膝关节的CPM练习,缩短骨折愈合时间,降低骨不愈合率及感染率。最大限度减少膝关节僵硬、粘连及畸形等并发症是治疗的关键所在。
股骨远端粉碎骨折 采用闭合逆行穿钉法,带锁髓内钉内固定
参考资料:
【专业探讨】长骨干骺端骨折的治疗
【为您服务】骨折靠近关节端,医生说可以用钢板固定,但损伤会比较重。有其他方法吗?
Email: liyf@vip.163.com 联系电话:010-83521777-2276 骨科护理站 010-63536059 主任办公室 京ICP备09006315号 Copyright 2003-2009 YAFEI. All rights reserved.