论文论著
亚非博客
典型病例
医院科室
骨科康复
健宫简介
医患交流
股骨远端骨折骨不连
股骨远端部位的特点是负重,临近大关节,附着肌肉力量强大,应力突出,股骨远端骨折的骨不连相当常见。
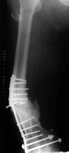
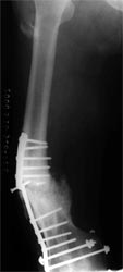
(1)钢板内固定术的失误。如钢板的长度不足,螺钉松脱、钢板折断。螺钉打入骨折线。首次钢板固定失败的病例再次用钢板固定不应是首选的方法. (2)选择内固定方法错误。如用Ender’s钉固定后断端不稳定,抗旋转性不足,钉移位退出失去固定作用。
逆行带锁髓内钉是治疗股骨远端骨不连的好方法: 股骨髁上带锁髓内钉在骨组织和钉体之间提供较均匀的弹性应力分布,避免钢板内固定时广泛的软组织剥离,抗旋转作用强于可屈髓内钉,不需外固定,对断端稳定性好,早期功能锻炼,适用于骨不连病例。 股骨远端的骨不连伴有伸膝装置粘连时,采用逆行插钉可一次完成内固定、植骨、关节粘连松解手术,能获得良好早期的稳定性,为骨愈合创造条件。术后可利用CPM早期练习膝屈伸,是一种较好的治疗选择。
断端硬化骨的去除与植骨:去除断端硬化骨每侧不超过0.5cm。植骨要围绕断端,并填平骨缺损,不使髓针外露。
骨髓细胞与骨折愈合:骨髓中骨祖细胞可转化为成骨细胞,具有促进骨修复的作用,应用于临床也取得满意的效果。用髓内钉固定后保证早期稳定性,植骨补充成骨所需基质,骨髓骨祖细胞,可分化成为骨痂组织,骨生长因子促进骨折处再血管化,促进了骨不连的愈合。 病例介绍 病例一、患者63岁,股骨髁上骨折骨不连10年,曾先后4次手术,均采用钢板固定均松脱或折断而失败。 我们采用逆行髓内钉内固定,以及骨髓细胞复合生长因子植骨术,术后1年X线片连续性骨痂形成,膝关节功能良好。
病例二、患者33岁,股骨髁上骨折骨不连2年,曾用Ender’s钉固定断端不稳定,抗旋转性不足,钉移位退出失去固定作用而失败。我们采用逆行髓内钉内固定,以及骨髓细胞复合生长因子植骨术,术后1年X线片连续性骨痂形成,膝关节功能良好。
Email: liyf@vip.163.com 联系电话:010-83521777-2276 骨科护理站 010-63536059 主任办公室 京ICP备09006315号 Copyright 2003-2009 YAFEI. All rights reserved.