胫骨骨不连的治疗

胫骨的力学特点是负重,胫骨干中下段骨折时易血运不良,发生延迟愈合或骨不连。胫前软组织覆盖较薄的特点,容易发生皮肤坏死,骨外露,在治疗上有相当的困难。我们的经验如下:

注意医源性的因素

  1. 钢板固定病例失败的原因包括钢板过短螺钉松脱、用普通钢板固定后折断、螺钉打入骨折线。应当严格按照钢板内固定术的原则选择适应症、钢板的类型(质材、长度、厚度)、正规的手术方法。

  2. 反复的剥离骨膜钢板内固定会加重血运的破坏。首次钢板固定失败的病例再次用钢板固定不应是首选的方法。

  3. 斜形、粉碎性骨折错误地用2枚可屈性髓内钉固定后断端不稳定,抗旋转性不足,钉移位退出失去固定作用。

  4. 外固定架术后未及时复查,断端未能加压

带锁髓内钉是治疗胫骨骨不连的较好的选择:由于骨不连的骨干多有骨质疏松、遗留有以往多次手术的钉孔,或由于骨吸收骨干变细,骨缺损,再用钢板内固定势必很难获得早期的稳定性并造成进一步的血运破坏。可屈性髓针缺乏抗旋转抗压缩作用;在上述病理情况下穿针外固定,也难以获得可靠的固定效果。
带锁髓内钉在骨组织和钉体之间提供较均匀的弹性应力分布,避免钢板内固定时广泛的软组织剥离,抗旋转作用强于可屈髓内钉,不需外固定,对断端稳定性好,能较好的解决骨质疏松、骨干变细和骨缺损等情况下的固定问题,可早期功能锻炼。有优于钢板、外固定架和可屈髓钉的特点,因此尤其适用于胫骨Ⅲ、Ⅳ区骨不连病例

贴骨瘢痕的处理和手术时机:胫前创伤骨折后易形成贴骨瘢痕。作者采用腓肠肌内侧头或筋膜皮瓣移位修复胫前贴骨瘢痕,3-6个月后再做内固定术

断端硬化骨的去除与植骨:作者去除断端硬化骨每侧3mm。将患者自体骨髓细胞经特殊处理后,与松质骨和骨生长因子复合,形成成骨细胞和提供支撑力巧妙集合在一起的复合物,使没有细胞的植骨材料变成了有细胞的活骨,新骨形成的效果得以大大加强。
植骨要围绕断端,并填平骨缺损,不使髓针外露。植骨块过大, 对新骨形成也有不利影响。 一般厚度不宜超过3mm,切成火柴梗样平铺于骨折端较好。

髓内钉类型的选择:骨不连只能采用扩髓型髓内钉。

固定的类型与静力固定改动力固定的指征与时机:如6个月X线片显示骨痂生长缓慢,有延迟愈合倾向则应及时取出远端锁钉改动力性固定

骨髓细胞与骨折愈合:骨髓基质细胞有分化成不同细胞系的潜能,在体外培养与体内植入特定的环境中能够分化为成骨细胞,并能刺激受区其它细胞转化为成骨细胞、软骨细胞,有合成骨基质的能力。
我们的方法用内固定后保证早期稳定性,植骨补充成骨所需基质,骨生长因子和骨髓细胞的植入,可分化成为骨痂组织,有效促进了骨不连的愈合。

病例介绍

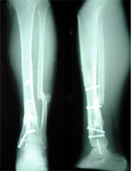
病例一、患者男性,23岁,胫骨开放粉碎骨折3年,外固定架固定,患处皮肤有贴骨瘢痕。扶双拐,患肢不能负重。

图1-1 X线片显示胫骨中上段粉碎骨折,有骨缺损、骨不连,
骨质吸收,骨折端变尖,断端硬化

图1-2 将异体骨裁剪成12厘米长的骨板,将患者自体骨髓细胞经特殊处理后,
与松质骨和骨生长因子复合,形成成骨细胞和提供支撑力巧妙集合在一起的复合物,
使没有细胞的植骨材料变成了有细胞的活骨,新骨形成的效果得以大大加强。

图1-3 将异体骨--患者自体骨髓细胞---松质骨和骨生长因子复合物植入

图1-4 8个月后骨折愈合,12个月后去掉外固定架,可以负重行走,恢复工作。

 

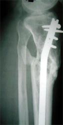
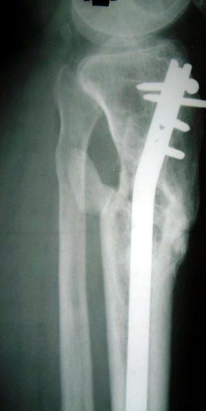
病例二 患者男性,45岁,胫骨上段开放粉碎骨折2年,骨不连

   

图2-1病例二、患者男性,45岁,胫骨上段开放粉碎骨折2年,骨不连。我们用带锁髓内钉固定骨折端提供支撑力,患者自体骨髓细胞经与松质骨和骨生长因子复合,使没有细胞的植骨材料变成了有细胞的活骨。骨折在9个月后愈合。

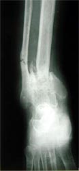
病例三、患者男性,25岁,胫骨下段骨不连3年

图3 病例三、患者男性,25岁,胫骨下段骨不连3年。我们用异体骨板提供支撑力,植如患者自体骨髓细胞经与松质骨和骨生长因子复合物,骨折在9个月后愈合。

病例四、患者男性,65岁,胫骨下段骨不连2年。我们采用钢板提供支撑力,植如患者自体骨髓细胞经与松质骨和骨生长因子复合物,骨折在9个月后愈合。

   

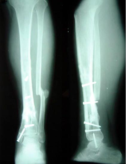
病例五、患者女性,30岁,胫骨多段开放粉碎骨折2年,骨不连,外固定架固定,皮肤大量贴骨瘢痕。

   

   

我们一期用腓肠肌内侧皮瓣修复皮肤贴骨瘢痕,4个月后行内固定和植骨。

带锁髓内钉固定骨折端提供支撑力,患者自体骨髓细胞经与松质骨和骨生长因子复合,使没有细胞的植骨材料变成了有细胞的活骨。骨折在9个月后愈合。

 

 

Email: liyf@vip.163.com
联系电话:010-83521777-2276 骨科护理站  010-63536059 主任办公室
京ICP备09006315号
Copyright 2003-2009 YAFEI. All rights reserved.