论文论著
亚非博客
典型病例
医院科室
骨科康复
健宫简介
医患交流
治疗脊柱骨折的新方法---经皮椎体成型术 李亚非
老年人骨质疏松症在轻微外伤时即可能发生椎体压缩骨析,引起急性或慢性疼痛,椎体变形,脊柱后凸侧弯畸形,内脏功能受限。传统的治疗手段为卧床休息、补充钙剂等,但长期卧床又可导致骨质疏松程度加重及井发症出现。 我们采用经皮椎体成型术,近年来国际上出现的治疗骨质疏松椎体骨折的微创新疗法,将“骨水泥”注射到骨折塌陷的椎体,达到止痛、稳定椎体作用。
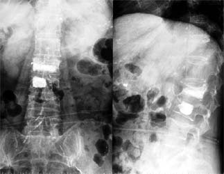
75岁女性,腰椎2、3压缩骨折2个月,疼痛明显
将骨水泥注射到骨折塌陷的两个椎体,迅速止痛,当天下地活动
Email: liyf@vip.163.com 联系电话:010-83521777-2276 骨科护理站 010-63536059 主任办公室 京ICP备09006315号 Copyright 2003-2009 YAFEI. All rights reserved.