论文论著
亚非博客
典型病例
医院科室
骨科康复
健宫简介
医患交流
脊柱骨折、脊柱退变性疾病的手术治疗 李亚非
颈椎、胸腰椎骨折并截瘫患者,施行早期彻底减压,内固定及植骨术,解除脊髓的压迫及脊柱畸形,可使神经获得进一步恢复。 对脊柱退变,长期严重腰腿痛患者,手术减压,内固定及植骨术,也是较好的治疗方法。
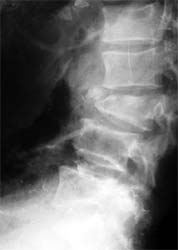
患者男性,30岁,腰3骨折,截瘫
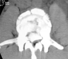
CT显示腰3椎体爆裂,骨块凸入椎管压迫硬膜囊
施行后路椎管前方减压术及经椎弓根固定植骨术,彻底解除 脊髓前方的压迫及后凸畸形,截瘫部分恢复
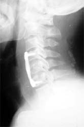
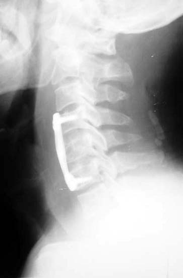
颈椎5骨折,椎体及间盘压迫硬膜囊,患者高位截瘫
前路减压,椎间植骨,钢板内固定,同期进行后路减压手术。 截瘫部分恢复,生活自理。
Email: liyf@vip.163.com 联系电话:010-83521777-2276 骨科护理站 010-63536059 主任办公室 京ICP备09006315号 Copyright 2003-2009 YAFEI. All rights reserved.