微创手术治疗股骨粗隆间骨折
张建政 李亚非 

患者多为高龄老人,首先注意全身情况,预防由于骨折后卧床而引起危及生命的各种并发症,如肺炎、褥疮和泌尿系感染等。骨折治疗目的是防止发生髋内翻畸形,具体治疗方法应根据骨折类型、移位情况、患者年龄和全身情况等,分别采取不同方法,以闭合复位,微创内固定,早期康复为佳。
股骨粗隆间骨折是发生于髋关节囊以外至小转子下方区域的骨折。临床常用的固定方法有:钉-板系统、髓内固定系统及外固定系统。

  1. 钉-板系统,目前临床上最常用的钉-板是动力髋螺钉(DHS)。动力髋螺钉通过较粗的拉力螺钉及带套筒的侧方钢板,将股骨头颈与股骨干固定为一体,具有加压和活动双重作用,结构坚固,可有效防止款内翻。钉可以延套筒滑动,骨折间隙减少,有利于骨折愈合。

  2. 髓内固定系统,髓内固定靠近负重力线,利于载荷的传递,力臂缩短,使弯矩减少,手术半闭合操作,用时短,出血量少,复合微创原则,更有力学和生物学优势。常用的髓内固定物有Gamma钉,髓内髋螺钉和股骨近端髓内钉。 

  3. 外固定系统,外固定架主要用于高龄、不能长时间耐受麻醉和手术的患者。 

     

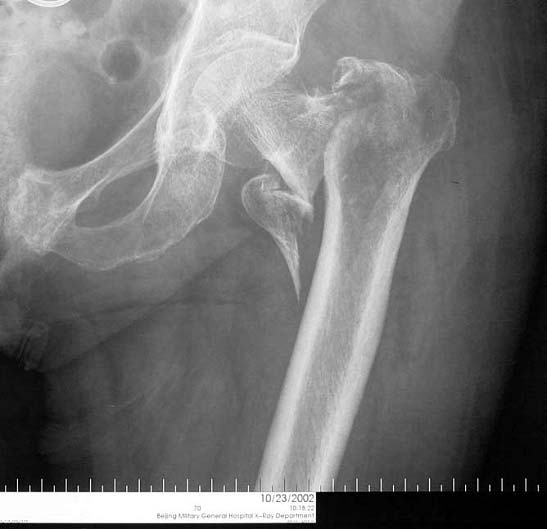
  股骨粗隆间骨折,严重移位。            采用闭合复位伽马钉内固定。

    

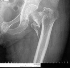
 股骨粗隆间骨折,采用闭合股骨重建钉内固定。

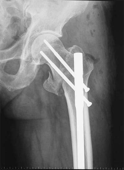
 股骨颈骨折,采用闭合空心钉内固定。

 

Email: liyf@vip.163.com
联系电话:010-83521777-2276 骨科护理站  010-63536059 主任办公室
京ICP备09006315号
Copyright 2003-2009 YAFEI. All rights reserved.