人工髋关节置换术

哪些疾病需要作人工关节

  1. 骨性关节炎造成的髋关节病变是人工关节置换手术首选适应证;

  2. 其他疾病还包括类风湿性关节炎、股骨头无菌性坏死、创伤性关节炎等。

  3. 选择手术治疗的病人必须符合如下三条标准:

    • 关节破坏的X线改变

    • 有中度到重度持续性疼痛

    • 长期保守治疗得不到实质性改善。

  4. 手术的最佳年龄:以往认为,患者年龄在60-75岁间为人工关节置换术最佳年龄组。在过去12年中,随着人工关节会承受更多的机械磨损和手术技术的提高,手术适应证的年龄范围已经放宽。许多高龄人,同时也有许多更年轻的病人也都被认为可以行人工关节手术。我院近年开展的人工关节手术病人中,年龄最轻25岁,最高94岁。

     

关节软骨破坏,关节间隙消失               股骨颈骨折,容易发生不愈合

如果股骨头和髋臼都已经破坏或者预期人工关节要使用很多年,需要进行全髋关节置换术。如果患者为高龄,可以进行单纯股骨头置换术。

手术示意图:切除股骨头,磨平髋臼,新髋臼植入臼窝,
新假体的柄插入股骨,柄上安装新股骨头。假体柄可嵌入或骨水泥固定

    

全髋置换术                                单纯股骨头置换术

术后注意事项:

  1. 术后当天髋关节置于外展20°中立位,或用三角形枕头,固定在两下肢之间5~14日。

  2. 术后下肢使用弹力绷带,应用低分子肝素钠防止血栓。

  3. 鼓励患者练习踝关节主动曲伸、股四头肌、臀肌收缩练习、深呼吸练习。髋关节半屈位的主动或主动抗阻力屈髋练习。按照医生的安排开始坐位和立位练习。

  4. 下地的时间根据具体情况而不同,有的术后第二天就可下地站立,有的到术后几天、几周才能下地行走。通过练习,不久,您将在步行器帮助下行走。

病例介绍

病例一

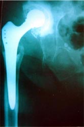
患者男性,52岁,左股骨颈骨折,曾经用空心钉和DHS固定,
两次手术均失败,股骨颈吸收,下肢短缩,疼痛,活动受限。

由于股骨近段两次手术均失败,导致股骨近段有骨质疏松骨缺损,
采用长柄的生物固定型股骨柄假体插入。

手术后X线片显示假体位置良好,双下肢恢复等长。患者功能恢复满意。

 

病例二

   

患者为髋臼嗜酸性肉芽肿,髋臼有骨破坏,患者有疼痛症状。刮除病灶后,采用生物固定全髋关节置换术。
术后4年复查,病灶没有复发,假体没有松动,关节功能良好。

病例三

   

患者女性,45岁,左髋关节先天性脱位,股骨头坏死,疼痛明显,活动受限。采用生物固定全髋关节置换术,
髋臼予以加深没有植骨。术后5年复查,假体没有松动,关节功能良好,没有疼痛。

病例四

   

患者女性,34岁,左髋关节先天性脱位,股骨头坏死,疼痛明显,活动受限。采用生物固定全髋关节置换术,
髋臼予以加深后,用切除的自体股骨头植骨,髋臼稳定好。术后3年复查,假体没有松动,关节功能良好,没有疼痛。

病例五

患者男性,76岁,十年前曾右髋关节置换术,术后逐渐出现髋关节疼痛活动受限,
X线片显示股骨假体和髋臼均松动,股骨近段有骨缺损。

   

行翻修手术。术中发现臼底已经穿透入盆腔,用钛网和植骨方法修复髋臼,股骨侧用非骨水泥假体固定。

 

在奥地利维也纳矫形外科医院师从著名关节外科专家ZYWANMULLER教授进修进修关节外科

和在奥地利维也纳EVENGLISCHEN医院师从著名关节外科专家PFLUGER教授进修关节外科。
还曾经在美国弗吉尼亚大学医院骨科长期进修,师从著名关节外科专家王国照教授进修关节外科。

 

Email: liyf@vip.163.com
联系电话:010-83521777-2276 骨科护理站  010-63536059 主任办公室
京ICP备09006315号
Copyright 2003-2009 YAFEI. All rights reserved.