论文论著
亚非博客
典型病例
医院科室
骨科康复
健宫简介
医患交流
骨组织工程学方法治疗股骨头坏死
我国创伤性和非创伤性股骨头坏死每年新发病例50,000人。目前早期、中期有采用中药、介入方法,还有采用普通的植骨手术,效果也不够满意,晚期病例多采用人工关节置换术。但是人工关节置换术不适用于青年人患者,所以“保头”治疗具有特别重要的意义。
我们1997年率先将将具有国际前沿水平的“骨组织工程学方法”引入股骨头坏死的治疗。将患者的骨髓细胞特殊处理后与具有支撑力的植骨材料复合植入骨修复区,开展1~3期年青的股骨头缺血性坏死“保头治疗”78例,也获得满意效果,将患者的骨髓细胞特殊处理后与具有支撑力的植骨材料复合植入股骨头,防止塌陷,恢复满意功能,在骨科学术界获得高度评价,论文发表 于2005年6期的《中华骨科杂志》。
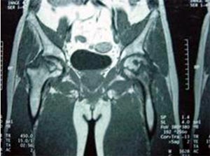
MRI显示股骨头坏死
小切口髓芯减压
将患者的骨髓细胞特殊处理后复合骨生长因子和松质辜,异体或自体腓骨作为支撑物
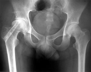
患者35岁,双侧股骨头坏死。将患者的骨髓细胞与具有支撑力的植骨材料复合植入骨修复区。术后3年患者髋关节功能良好,无塌陷,无疼痛。
患者20岁,单侧股骨头坏死。术后5年患者髋关节功能良好,无塌陷,无疼痛。
Email: liyf@vip.163.com 联系电话:010-83521777-2276 骨科护理站 010-63536059 主任办公室 京ICP备09006315号 Copyright 2003-2009 YAFEI. All rights reserved.