死骨变活骨
----复合BMP和红骨髓的异体骨促进骨缺损修复

李亚非 等

四肢长骨大段的缺损治疗,仍是骨科临床的重大难题。
主要的问题:

  • 骨质的大量缺失,使骨修复缺乏物质基础

  • 大段骨缺失特别是在骨折延迟与和骨折不愈合时,成骨前质细胞活性和数量的降低,骨生长因子主要是BMP的合成与分泌减少。

小块的自体骨或异体骨新骨爬行替代较快,但植骨块早期容易移位,植骨块的吸收,造成软组织进入骨缺损间隙。大块的异体骨具有一定支撑力,可用于节段骨缺损的修复,但新骨替代慢又是其明显缺点之一。大段异体骨长期不能新骨替代后疏松吸收强度下降,容易发生再骨折。取自体骨数量有限,造成额外损伤,取骨部位感染疼痛等并发症。

针对上述难题,我们采用复合自体红骨髓和骨形态发生蛋白的异体骨填充骨缺损,促进成骨骨修复过程。

骨髓来源充足,采取容易,创伤很小。骨髓基质细胞有分化成不同细胞系的潜能,有较强的有丝分裂能力。其中具有成骨作用的确定性骨源性前体细胞(DOPC)在体外培养与体内植入特定的环境中能够分化为成骨细胞,并能刺激受区其它细胞转化为成骨细胞、软骨细胞,有合成骨基质的能力。

        

大段异体皮质骨,用于桥接骨缺损             将异体骨装入针筒,抽取患者红骨髓滴入松质骨

            

异体皮质骨桥接骨缺损,将混合红骨髓的异体松质骨填充缺损区

                

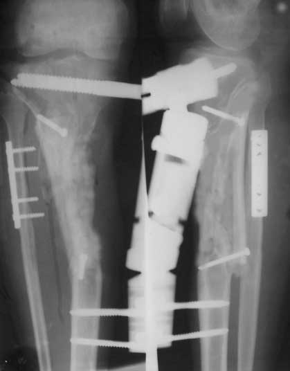
术前X线片,骨折后2年骨缺损、骨不连     术后6个月X线片,新骨桥接骨缺损

 

Email: liyf@vip.163.com
联系电话:010-83521777-2276 骨科护理站  010-63536059 主任办公室
京ICP备09006315号
Copyright 2003-2009 YAFEI. All rights reserved.