论文论著
亚非博客
典型病例
医院科室
骨科康复
健宫简介
医患交流
王国照教授来访
北京健宫医院和燕化凤凰医院于2006年4月11日-13日举办了“骨关节关爱日”活动,特聘美国弗吉尼亚大学骨科主任,台湾高雄医学大学校长,世界华裔骨科学会主席王国照来院,开展门诊、查房、学术交流和人工关节置换手术。 王国照教授在人工关节外科造诣深厚,技术精湛,为国际著名关节外科专家,被美国媒体誉为“第一个在美国成为大学骨科主任的东方人”。王国照教授还兼任首都医科大学教授,。每年都来中国讲学,并亲自手术治疗了许多患者。 短短几天时间,王国照教授展现了对患者和蔼可亲的态度,认真的检查诊断,精湛的手术技术。北京、天津、广州许多患者慕名前来就诊。王国照教授亲自主刀为疑难重症的膝关节病患者进行了关节置换手术,获得圆满成功。 此次活动受到集团和徐捷总裁的大力支持,王国照教授与健宫医院和燕化凤凰医院的领导进行了交流,被特聘为健宫医院、燕化凤凰医院客座专家。
骨科工作人员热烈欢迎王国照教授
王国照教授与健宫医院和燕化凤凰医院的领导进行了交流
王国照教授对患者和蔼可亲,认真的检查诊断
王国照教授在健宫医院骨科开展教学查房
王国照教授为各地慕名而来的患者会诊
王国照教授在健宫医院进行学术演讲
王国照教授亲自主刀进行膝关节关节置换手术
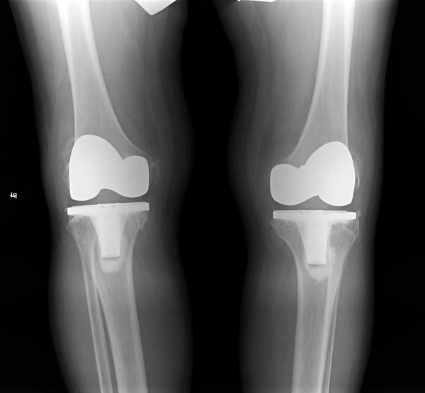
患者严重膝骨关节炎,关节软骨破坏,明显疼痛,行走困难
膝关节置换手术获得圆满成功
Email: liyf@vip.163.com 联系电话:010-83521777-2276 骨科护理站 010-63536059 主任办公室 京ICP备09006315号 Copyright 2003-2009 YAFEI. All rights reserved.