论文论著
亚非博客
典型病例
医院科室
骨科康复
健宫简介
医患交流
异种骨作为骨组织工程学载体 李亚非
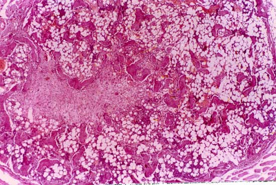
异种骨取之于动物,来源丰富,易于大量获取和加工贮存,用作植骨材料有巨大开发潜力,但未经处理的异种骨植入体内可引起强烈的免疫排斥反应,采用多种理化方法处理,在消除其抗原性的同时也使有益的生物活性物质破坏殆尽,这就是异种骨长期不能应用于临床的原因。 如果将成骨活性物质浓集,与经过处理的异种骨松质骨复合,后者是良好的缓释载体,具有高效诱导成骨能力,且移植骨之尺寸和生物学活性可根据缺损大小及个体需要而制作成合适的“预制件”。这是将BMP与适当载体结合的一种新方式,为更好地利用异种骨开辟了一条新途径。 为了进一步提高BMP及其复合材料应用于骨折愈合与骨缺损修复能力,我们将复合BMP的异种骨与自体成骨细胞共同培养,使细胞长入骨孔内,再将骨块植入体内,获得良好成骨效果。
复合BMP的异种骨与自体成骨细胞共同培养, 使细胞长入骨孔内,再将骨块植入体内,获得良好成骨效果
Email: liyf@vip.163.com 联系电话:010-83521777-2276 骨科护理站 010-63536059 主任办公室 京ICP备09006315号 Copyright 2003-2009 YAFEI. All rights reserved.