|
全髋关节置换术是治疗成人先天性髋关节脱位的一种有效方法,但在手术中会遇到诸如真臼浅小、肢体短缩、股骨上段畸形、软组织挛缩等问题,这些问题如处理不当会出现很多严重的后果,并最终导致THR手术的失败。介绍我们的经验.
术前准备
术前行股骨髁上骨牵引,牵引时间7~10 d。
全髋关节类型:由于患者一般年轻,所以原则用生物固定型.
术前常规行骨盆、股骨上段X线片及髋关节CT检查确定造臼部位和臼壁厚度,并根据髋关节假体模板确定股骨矩保留长度及骨髓腔尺寸.
手术方法
髋关节外侧入路,术中广泛松解髋关节周围软组织、切断髂腰股内收肌及部份股直肌、粗隆部截骨短缩等方式来解决股骨头高位的难题。

34岁女性,先天髋脱位,骨关节炎,疼痛严重.

采用切除的股骨头做植骨
髋臼假体应安置在真臼内.若新臼包容不足70%,在骨质厚度允许的情况下应该继续加深研磨.可以采用切除的股骨头做植骨。

用螺丝钉把采用切除的股骨头做植骨固定在髋臼上缘
髋关节假体的选择
为保证在切除最小骨质的前提下使人工髋臼得到最大程度的骨床支撑,通常选用小型髋臼及细直柄型假体。

固定好骨块后用髋臼锉磨造加深髋臼

安装生物髋臼

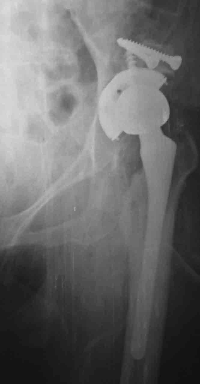
安装好的髋臼和金属人工股骨头

图7. 手术后的照片 |