大段异体骨在人工关节置换术中的应用
李亚非

大段异体骨关节移植治疗骨肿瘤切除术后骨关节缺损:对于恶性骨肿瘤切除、创伤性大段骨缺损,采用低温深冻或冻干的异体骨关节移植100余例。

 

                  

股骨远端骨母细胞瘤               段截肿瘤,大段异体骨移植术后3年,
                       骨愈合良好,并且获得良好的膝关节功能。

      

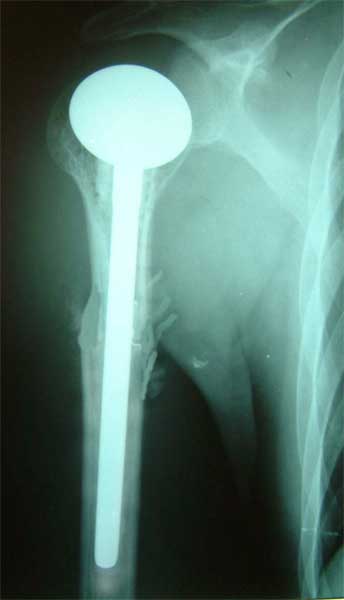
肱骨近端软骨肉瘤,肿瘤段截,用13厘米长的异体骨,
修复肱骨近段,人工肱骨头置换术后3年

 

Email: liyf@vip.163.com
联系电话:010-83521777-2276 骨科护理站  010-63536059 主任办公室
京ICP备09006315号
Copyright 2003-2009 YAFEI. All rights reserved.