复合BMP和红骨髓的异体骨修复膝关节置换时的骨缺损
李亚非

异体骨被广泛用于人工关节外科修复骨缺损。但缺点是在部分病例新骨替代慢,植骨块早期吸收,造成软组织进入骨缺损间隙,手术失败。将BMP与异体骨复合,提高异体骨移植物的骨修复能力,用于修复人工关节置换时的骨缺损,可以促进新骨形成,与假体牢固结合。
针对上述难题,我们采用复合自体红骨髓和骨形态发生蛋白的异体骨填充骨缺损,促进成骨骨修复过程。
骨髓来源充足,采取容易,创伤很小。骨髓基质细胞有分化成不同细胞系的潜能,有较强的有丝分裂能力。其中具有成骨作用的确定性骨源性前体细胞(DOPC)在体外培养与体内植入特定的环境中能够分化为成骨细胞,并能刺激受区其它细胞转化为成骨细胞、软骨细胞,有合成骨基质的能力 。

临床应用30余例,获得良好效果。

                    

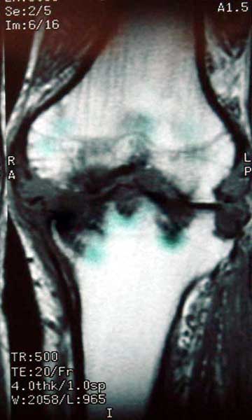
膝关节类风湿关节炎,胫骨近端骨缺损,成蜂窝状    MRI显示骨破坏程度

          

复合BMP的脱钙异体骨基质填充骨缺损      复合BMP的脱钙异体骨基质修复骨缺损,膝关节置换术后

 

Email: liyf@vip.163.com
联系电话:010-83521777-2276 骨科护理站  010-63536059 主任办公室
京ICP备09006315号
Copyright 2003-2009 YAFEI. All rights reserved.