肩关节置换术肩袖的修复
李亚非

肩袖的机制在全肩关节置换术中是非常容易受到损伤,其原因如下:
肩胛上神经支配冈上肌和冈下肌,容易在松解过程中受伤;
在肱骨截骨时过度后倾可引起肩袖后侧撕脱,截骨线过低时则易造成肩袖上方的撕脱。
关节过宽可能在内收及旋转时产生肩袖张力过大。
三角肌是肩关节置换术后最重要的动力肌,必须保持肌肉的起、止点及神经支配的完整性。要避免其损伤腋神经。术后的三角肌锻炼恢复对关节主动活动是致关重要的。
术后训练及病人的主动活动应该循序渐进地增加负荷,使组织能够随时间变得更加坚强。
在术中发现肩袖缺损时,如果在肩关节中立位肩袖组织足够在正常张力下缝合就将其修补固定在骨上。达不到要求时强行修补可能效果不佳。在进行了肩袖修复或大小结节固定的情况下,术后康复训练必须完全改变,使肩袖组织能够在主动活动前达到确实的愈合。根据以上原因,在肩袖缺损时通常不进行修补,这些病例通常考虑进行半关节置换,而不是全肩关节置换。
应确保关节囊韧带既不太松弛,也不能过紧。过松时关节可能过度旋转,脱离肌肉能够控制的稳定位置;过紧则导致在活动受限时出现移位。

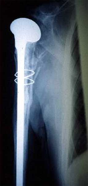
在肱骨近段有骨缺损、解剖标志失去时,首先保证假体的
正确旋后和插入的深度,在肱骨近端钻孔穿粗的不吸收缝线

  • 大结节用粗的不吸收缝线,固定到假体的颈部

  • 骨块位于假体领的下方且无很大张力

        

修复关节囊、肩胛下肌、三角肌、胸大肌、联合腱

肱骨干纵行劈裂的大骨片不要轻易摘除,应用钢丝捆绑

    

或者用0.8mm钢丝穿过肱骨大结节,固定到肱骨近端

 

Email: liyf@vip.163.com
联系电话:010-83521777-2276 骨科护理站  010-63536059 主任办公室
京ICP备09006315号
Copyright 2003-2009 YAFEI. All rights reserved.