带锁髓内钉治疗四肢管状骨骨不连
李亚非

解剖特点:长骨干的力学特点是负重,两端为大关节,附着肌肉力量较大,应力突出。

钢板内固定:钢板内固定是传统疗法。普通钢板或钢板的长度不足导致螺钉松脱、钢板折断;钢板较长又剥离骨膜过多,容易造成广泛的软组织剥离,容易损伤血液循环和关节功能,且存在应力遮挡,容易发生再骨折。
骨断端多有硬化而骨干骨质疏松、遗留有以往多次手术的钉孔,或由于骨吸收骨干变细,骨缺损。再用钢板螺钉系统或角度钢板内固定,很难获得早期的稳定性并造成进一步的血运破坏。

外固定架:外固定架术后未断端容易出现间隙,且生活不便。骨不连骨干多有骨质疏松,外固定架的固定针难以牢固地锚固,甚至有引起再骨折的危险。

可屈性髓内钉:固定后断端不稳定,抗旋转性不足,钉移位退出失去固定作用。

普通髓针: 缺乏抗旋转、抗压缩作用,也难以获得可靠的固定效果。

带锁髓内钉是治疗股骨骨不连的较理想方法:带锁髓内钉在骨组织和钉体之间提供较均匀的弹性应力分布,避免,抗旋转作用强于可屈髓内钉,不需外固定,对断端稳定性好,可早期功能锻炼。有优于钢板、外固定架和可屈髓钉的特点,已经成为治疗新鲜长骨干骨折的有效方法 。

      

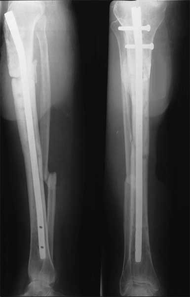
胫骨多段骨折外固定架术后1年,形成骨不连。取除外固定架,
改用髓内钉固定,6个月后骨折愈合。

          

股骨远段骨折,4次钢板固定均失败,改用带锁髓内钉固定,7个月后骨折愈合。

         

股骨骨折,钢板固定后失败。改用带锁髓内钉固定,4个月后骨折愈合。

      

肱骨骨折,3次钢板和钢丝固定后失败。改用带锁髓内钉固定,4个月后骨折愈合。

  

股骨近段骨折,钢板、外固定后失败。改用带锁髓内钉固定,4个月后骨折愈合

 

 

Email: liyf@vip.163.com
联系电话:010-83521777-2276 骨科护理站  010-63536059 主任办公室
京ICP备09006315号
Copyright 2003-2009 YAFEI. All rights reserved.