论文论著
亚非博客
典型病例
医院科室
骨科康复
健宫简介
医患交流
复合骨生长因子和红骨髓的异体骨促进骨缺损修复 李亚非
高能量的损伤如火器伤、交通事故伤,以及肿瘤切除可造成四肢长骨大段的缺损。美国每年由于创伤造成的需要治疗的骨缺损维持在将近150,000例。目前治疗的方法较多, 牵引成骨,带血运的骨移植,或多次手术植骨等,但治疗的效果和修复程度有较多的限制,仍是骨科临床的重大难题。
主要存在三方面的问题:
骨质的大量缺失,使骨修复缺乏物质基础。
固定不可靠,骨折端缺乏必要的稳定性。
大段骨缺失特别是在骨折延迟与和骨折不愈合时,成骨前质细胞活性和数量的降低,骨生长因子主要是BMP的合成与分泌减少。
小块的自体骨或异体骨新骨爬行替代较快,但植骨块早期容易移位,植骨块的吸收,造成软组织进入骨缺损间隙。大块的异体骨具有一定支撑力,可用于节段骨缺损的修复,但新骨替代慢又是其明显缺点之一。大段异体骨长期不能新骨替代后疏松吸收强度下降,容易发生再骨折。取自体骨数量有限,造成额外损伤,取骨部位感染疼痛等并发症。 组织工程学研究的兴起为建造生物性骨修复材料开辟了一条新的途径,通过将在体外培养的成骨细胞,接种到一定的生物材料基质上,然后移植于动物体内,建造出相应的生物性人工骨。 针对上述难题,我们采用复合自体红骨髓和基因重组骨形态发生蛋白的异体骨填充骨缺损,促进成骨骨修复过程。 骨髓来源充足,采取容易,创伤很小。骨髓基质细胞有分化成不同细胞系的潜能,有较强的有丝分裂能力。其中具有成骨作用的确定性骨源性前体细胞(DOPC)在体外培养与体内植入特定的环境中能够分化为成骨细胞,并能刺激受区其它细胞转化为成骨细胞、软骨细胞,有合成骨基质的能力 。
死骨变活骨-----复合BMP和红骨髓的异体骨促进骨缺损修复
异体皮质骨用来桥接骨缺损,异体松质骨与自体红骨髓复合
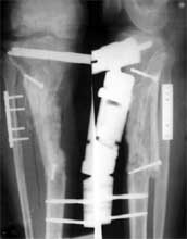
胫骨上段骨折术后1年,骨缺损、骨不连
异体皮质骨桥接骨缺损,异体松质骨与自体红骨髓复合后,填充入间隙中。
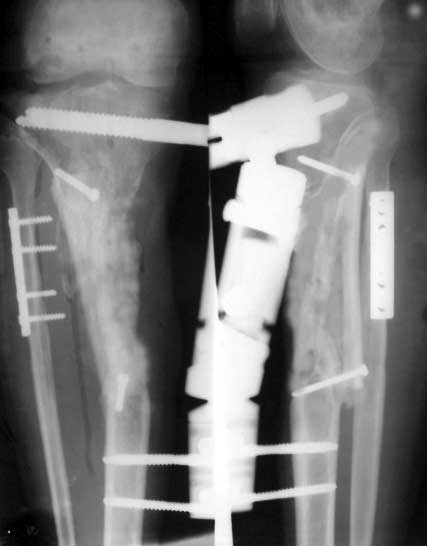
术后1年,骨折愈合
Email: liyf@vip.163.com 联系电话:010-83521777-2276 骨科护理站 010-63536059 主任办公室 京ICP备09006315号 Copyright 2003-2009 YAFEI. All rights reserved.