生长因子促进骨髓基质干细胞分化的研究
常红星 李亚非

目的

骨缺损的修复是骨科临床的重要课题。目前修复方法是手术植入自体骨、异体骨及各种人工修复材料,均有不足之处。随着组织工程和细胞外科的发展和应用,成骨细胞和骨生长因子的局部移植成为研究的重点。骨髓基质细胞因能在体外增殖并分化为成骨细胞,移植后直接增加缺损区成骨细胞数量,改善局部成骨能力,使得基于细胞的骨修复技术成为该研究领域中新的希望。为寻找一种有效、微创的治疗方法,本研究采用组织工程学原理,将自体MSC与BMP复合经皮移植修复骨缺损,并对其作用与机制进行了探索。

方法

  1. 骨髓基质细胞的动员和培养:随机选取新西兰兔一侧胫骨抽取骨髓1ml进行培养,对侧在G-CSF 2.5ng/kg连续静脉注射5天后抽取骨髓;利用倒置显微镜观察细胞形态及生长情况,计算克隆形成率;并且观察细胞的ALP活性和钙化结节形成情况。

  2. 多种生长因子对骨髓基质细胞增殖分化的影响:分别以50、100ng/ml浓度的BMP、bFGF、G-CSF、GM-CSF作用于骨髓基质细胞,检测细胞增殖速度及细胞的ALP活性,比较不同因子的效应、同因子不同浓度的效应以及各因子相互组合后的效应。

  3. 经皮注射骨髓基质细胞和BMP修复骨缺损的研究:
    (1).兔骨缺损制备:无菌条件下切除双侧连同骨膜在内的桡骨干15mm,形成标准骨缺损模型;
    (2). 术后24小时,经皮将体外扩增的基质细胞悬液0.5ml(细胞数量达5×106)注射到骨缺损处;
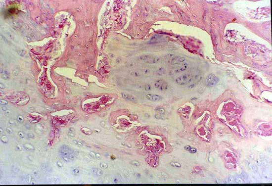
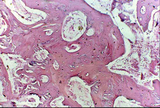
    (3)术后分别于2、4、8周行X线、组织病理学检查。采用光镜、组化染色、图象分析等方法检测骨缺损修复的程度。

结果

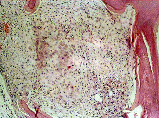
  1. 兔骨髓基质细胞能够在培养条件下形成集落并持续扩增,其中部分集落碱性磷酸酶表达阳性,细胞接近汇合时有近半数细胞有ALP活性表达;汇合后能够形成钙化小结;G-CSF虽能够增加骨髓中有核细胞数量,但克隆形成率并未有明显增加。

  2. 随rhBMP剂量增高,MSC内ALP活性显著增加,bFGF剂量增高可显著促进MSC的增殖(OD值升高),二者合用以ALP升高为主。 

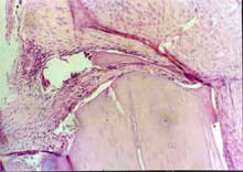
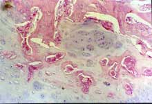
  3. X线、组织病理切片表明BMP+MSC 组术后2周有明显的骨痂生成,术后4-8周连续性骨痂桥接骨缺损,与单纯注射骨髓组有显著性差异。

结论

  1. G-CSF对MSC的数量无明显动员作用。

  2. BMP和bFGF能够促进MSCs大量扩增并定向分化为成骨细胞的能力,符合作为骨组织工程种子细胞的要求。

  3. 证实了BMP在体外促进细胞间通讯和增加增殖期细胞比例的作用能够在体内表达,直接促进局部骨修复能力。

  4. 实验表明经皮注射自体MSC+BMP能够促进兔桡骨缺损处新骨形成,疗效优于新鲜骨髓。

 

    

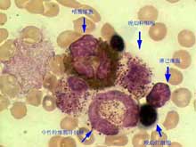
骨髓有核细胞100X                      骨髓有核细胞100X

    

2周软骨岛                              骨断端无骨痂

    

4周软骨钙化                            骨小梁形成

    

髓腔形成                              X线4周(BM vs MSC)

 

 

Email: liyf@vip.163.com
联系电话:010-83521777-2276 骨科护理站  010-63536059 主任办公室
京ICP备09006315号
Copyright 2003-2009 YAFEI. All rights reserved.