论文论著
亚非博客
典型病例
医院科室
骨科康复
健宫简介
医患交流
脱抗原异种骨作为成骨细胞载体的研究 李亚非
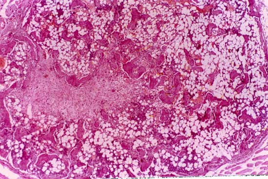
植骨材料以自体骨疗效为最佳。迄今仍被视为“金标准”,但取骨会增加病人痛苦,且供骨量有限,特别是儿童。 同种异体骨移植有传播人类疾病的危险,有一定的免疫原性,来源也受限。 植骨术见诸报道已有300余年。1688年荷兰医生Job Meekeren记述了第一例异种骨移植手术。他用狗颅骨修复一位士兵的颅骨缺损,因这种疗法违反基督教教义,病人被逐出教会。 异种骨取之于动物,来源丰富,易于大量获取和加工贮存,用作植骨材料有巨大开发潜力,但未经处理的异种骨植入体内可引起强烈的免疫排斥反应,采用多种理化方法处理,在消除其抗原性的同时也使有益的生物活性物质破坏殆尽,这就是异种骨长期不能应用于临床的原因。 如果将成骨活性物质浓集,与经过处理的异种骨松质骨复合,后者是良好的缓释载体,具有高效诱导成骨能力,且移植骨之尺寸和生物学活性可根据缺损大小及个体需要而制作成合适的“预制件”。这是将BMP与适当载体结合的一种新方式,为更好地利用异种骨开辟了一条新途径。 为了进一步提高BMP及其复合材料应用于骨折愈合与骨缺损修复能力,我们将复合BMP的异种骨与自体成骨细胞共同培养,使细胞长入骨孔内,再将骨块植入体内,获得良好成骨效果。
复合BMP的异种骨与自体成骨细胞共同培养, 使细胞长入骨孔内,再将骨块植入体内,获得良好成骨效果
Email: liyf@vip.163.com 联系电话:010-83521777-2276 骨科护理站 010-63536059 主任办公室 京ICP备09006315号 Copyright 2003-2009 YAFEI. All rights reserved.