论文论著
亚非博客
典型病例
医院科室
骨科康复
健宫简介
医患交流
四肢长骨干骨折新的治疗方法 张建政 李亚非
20年前,带锁髓内针的出现掀起了长骨干骨折治疗的一场革命。通过闭合技术植入能够分散负荷的髓内针,大大减少了手术的失血量,保护了周围的软组织,同时也减低骨折短端感染的发生率,允许患者进行早期活动和有限负重,同时也减少住院时间。对于干骺端骨折,经皮或通过开放切口插入锁钢板提高骨折的稳定性,从而有利于早期关节活动和患肢的康复,使得常简单较棘手的骨折的复位和固定方法出现变革性进展,获得更佳的临床和功能恢复效果。
长骨干容易发生粉碎性骨折,治疗失败率较高。如果发生骨不连,遗留有以往多次手术的钉孔,骨缺损,治疗会很困难。 我们采用微创手术,带锁髓内钉闭合插钉法治疗长骨干骨折。提供较均匀的弹性应力分布,手术切口小,失血少,手术时间短。可以避免钢板内固定时广泛的软组织剥离,断端稳定性好,可早期功能锻炼,骨愈合率高,恢复快。
肱骨干骨折 采用闭合穿钉法,带锁髓内钉内固定,10个月后骨折愈合
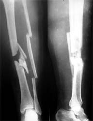
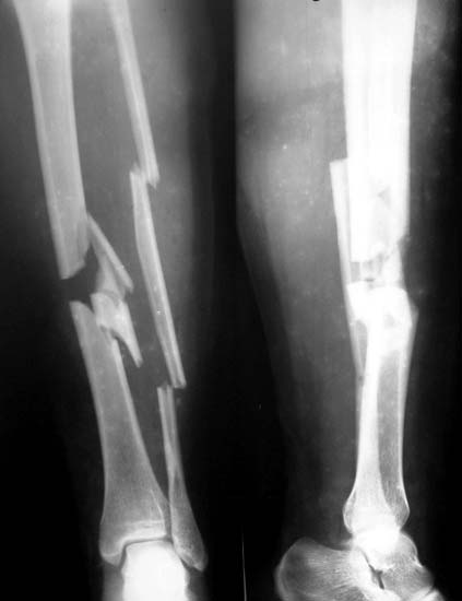
胫腓骨粉碎骨折 采用闭合穿钉法,带锁髓内钉内固定
股骨多段粉碎骨折 采用闭合穿钉法,带锁髓内钉内固定
参考资料:
【专业探讨】带锁髓内钉治疗四肢管状骨骨不连
【为您服务】钢板已经松脱、折断,再次手术是用钢板还是用髓内钉?
Email: liyf@vip.163.com 联系电话:010-83521777-2276 骨科护理站 010-63536059 主任办公室 京ICP备09006315号 Copyright 2003-2009 YAFEI. All rights reserved.