论文论著
亚非博客
典型病例
医院科室
骨科康复
健宫简介
医患交流
治疗难治性骨不连的新方法 李亚非
骨不连又称骨折不愈合,表现为骨痂生长缓慢或不生长。我们采用新型的生物材料结合手术的方法治疗骨不连,获得良好效果。 将高效骨生长因子和患者骨髓细胞混合,注射到骨折区域,骨生长因子刺激骨痂形成并且促进骨髓细胞转变为成骨细胞,有效促进骨修复。
股骨骨折不愈合患者,经注射骨生长因子和骨髓细胞,6个月后骨折愈合
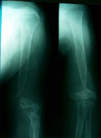
股骨远端骨折术后10年,4次手术均失败。经带锁髓内钉内 固定、植骨,骨生长因子和骨髓细胞注射,成功治愈
肱骨骨折骨不连6年,大段骨缺损,经异型钢板内固定、植骨,骨生长因子 和骨髓细胞注射方法,成功修复骨缺损
参考资料:
【专业探讨】带锁髓内钉治疗四肢管状骨骨不连
【专业探讨】重组合异种骨临床应用10,000例10年回顾
【专业探讨】北京军区总医院“难治性骨不连”治疗获进展
【专业探讨】为新骨铺路架桥---大块异体骨桥接骨缺损
【专业探讨】复合骨生长因子和红骨髓的异体骨促进骨缺损修复
【专业探讨】经皮注射骨生长因子和红骨髓促进骨折愈合
【专业探讨】震波促进骨折愈合
Email: liyf@vip.163.com 联系电话:010-83521777-2276 骨科护理站 010-63536059 主任办公室 京ICP备09006315号 Copyright 2003-2009 YAFEI. All rights reserved.